CIRSE Annual Congress
GENERAL - CIRSE 2026

September 5-9 | Copenhagen, Denmark

September 5-9 | Copenhagen, Denmark

September 5-9 | Copenhagen, Denmark

September 5-9 | Copenhagen, Denmark

September 5-9 | Copenhagen, Denmark

ProgrammeSneak peeksFalse lumen occlusion techniques

False lumen occlusion techniques

Three things you will learn in my lecture

  1. While medical therapy is the gold standard for cTBAD, up to 40% of patients will eventually requite intervention due to aneurysmal degeneration (≥6.0 cm).
  2. Persistent false lumen perfusion remains a primary independent predictor of rupture and poor survival.
  3. Advanced adjuncts like False Lumen Occluders (FLO) and the knickerbocker technique are essential to promote positive remodeling and may reduce the risk of Spinal Cord Ischemia (SCI) in staged repairs.

Dr. Carla van Rijswijk
Speaker bio

 

For patients with chronic uncomplicated type B dissection (TBAD), medical therapy is the treatment of choice to prevent aortic expansion, rupture and/or recurrent dissection. Blood pressure control can reduce re-dissection by two thirds. Despite appropriate medical therapy, approximately 20–40% of patients in the long-term outcome will require a secondary operation for aortic aneurysmal degeneration [1,2].

The most common indication of aortic repair in chronic TBAD is the development of chronic post dissection aneurysm of the thoracic or thoraco-abdominal aorta. An aortic diameter ≥6.0 cm should be considered for repair, taking into account patient fitness and aneurysm anatomy. The goal of the repair is to prevent aortic rupture. Other situations that may indicate aortic repair include recurrent symptoms, rapid enlargement of the aortic diameter (≥10mm/year), and clinical and imaging signs of end organ malperfusion [3].

For chronic TBAD patients, conventional open surgery is currently reserved for patients with anatomy unsuitable for endovascular treatment or patients scheduled for hybrid repair due to inadequate stent graft landing zones. Over the last decade, thoracic endovascular aortic repair (TEVAR) emerged as a safe and valid alternative to conventional open surgery and has established as the preferred strategy for the treatment of the disease of the descending thoracic aorta in chronic complicated TBAD [3]. TEVAR in chronic TBAD differs from acute type B pathology based on increased stiffness of the dissecting lamella and a continued false lumen (FL) expansion. Stent-graft deployment in chronic dissection does not necessarily focus on the expansion of true lumen (TL), but aims to depressurize the false lumen by promoting progressive thrombosis. Complete thrombosis of the FL results in positive remodeling of the aorta but is only achieved in approximately 40% of patients with TEVAR alone [4,5]. Continued FL perfusion is an independent predictor of poor long-term survival and risk of reoperation or rupture [6,7].

Endovascular techniques to promote false lumen thrombosis will be discusses during the presentation. Key techniques include the false lumen occluders (FLO), Knickerbocker, “cork in the bottleneck“, and direct embolization, often applied after TEVAR (Thoracic Endovascular Aortic Repair) to seal distal re-entry tears. Although there are series of these techniques to treat patients with complicated chronic TBAD with favorable remodeling during midterm follow, available clinic reports are limited to a high-volume centres [8].

Early results of recent study show the feasibility and safety of FLOs when implanted into the FL of the infrarenal abdominal aorta [9]. The use of FLO at abdominal level offers the opportunity of one more step in a staged approach to exclude extensive aortic disease and potentially reducing the risk of SCI.

In conclusion, lifelong care for chronic aortic dissection often requires multiple staged segmental repairs. TEVAR and complex thoracoabdominal stent grafting to cover entry tears and replace aneurysmal segments of the aorta can be augmented with the adjuncts of balloon expansion of the stent graft devices and fracture of the dissection flap and embolization of the FL to promote positive aortic remodeling.

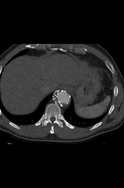
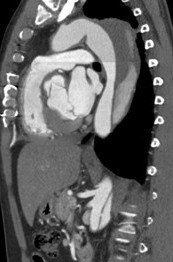
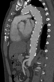
Fig. 1-4: Chronic residual type B dissection after ascending repair. Follow-up CT examination demonstrates TEVAR in descending thoracic aorta extending to the level of the celiac trunk with thrombosis of the false lumen and aortic remodeling due to FLO in false lumen. The FLO is completely collapsed in the FL due to depressurize the false lumen.  

Carla van Rijswijk

Leiden University Medical Center, Leiden/NL

Carla van Rijswijk (MD PhD) is European Board certified Interventional Radiologist and CIRSE Fellow. Dr van Rijswijk is a dedicated Interventional Radiologist in Leiden University Medical Center (LUMC) performing minimal invasive image-guided oncological interventions and arterial endovascular treatments with special interest in endovascular aortic treatment. She currently serves as a member of the CIRSE Educational Committee and the CIRSE Endovascular Committee, where she contributes to the development of clinical standards and specialist training across Europe. She is Section Editor (Aorta) for CVIR Endovascular. Driven by a passion for the Interventional Radiology, she is actively focused on strengthening the position of Interventional Radiology within the European healthcare landscape, ensuring that innovation and education remain the forefront of the profession.

References

  1. Parsa CJ, Schroder JN, Daneshmand MA, et al. Midterm results for endovascular repair of complicated acute and chronic type B aortic dissection. Ann Thorac Surg 2010;89:97-102.
  2. Durham CA, Cambria RP, Wang LJ, et al. The natural history of medically managed acute type B aortic dissection. J Vasc Surg2015; 61:1192-8.
  3. European Society for Vascular Surgery (ESVS) 2026 Clinical Practice Guidelines on the Management of Descending Thoracic and Thoraco-Abdominal Aortic Diseases Eur J Vasc Endovasc Surg (2026) 71, 172—270.
  4. Li D, Ye L, He Y, et al. False lumen status in patients with acute aortic dissection: a systematic review and meta‐analysis. J Am Heart Assoc. 2016.
  5. Kang WC, Greenberg RK, Mastracci TM, et al. Endovascular repair of complicated chronic distal aortic dissections: intermediate outcomes and complications. J Thorac Cardiovasc Surg. 2011;142:1074-1083.
  6. Spanos K, Kölbel T, Rohlffs F, et al. Intentional targeted false lumen occlusion after aortic dissection: a systematic review of the literature. Ann Vasc Surg. 2019;56:317-329.
  7. Miletic KG, Kindzelski BA, Hodges KE, et al. Impact of endovascular false lumen embolization on thoracic aortic remodeling in chronic dissection. Ann Thorac Surg. 2021;111:495-501.
  8. Eleshra A, Haulon S, Bertoglio L, et al. Custom-made candy-plug for distal false lumen occlusion in aortic dissection: international expe rience. Eur J Vasc Endovasc Surg 2023;66:50-6.
  9. Mickael Palmier, Justine Mougin, Jeremy Bendavid et al. Evaluation of false lumen occluders implanted in the abdominal aorta false lumen J Vasc Surg 2023 Nov;78(5):1146-1152.